Lacunar Strokes: The “Quiet” Brain Events That Can Steal Independence
Lacunar strokes are small, deep-brain strokes that injure tiny blood vessels over time. Because the changes can be subtle, many adults—especially those over 60—mistake early symptoms for “normal aging.” The problem is that these small events can accumulate, gradually affecting mobility, clear thinking, and the ability to live independently.
Learning the early lacunar stroke warning signs can help you seek care before more damage occurs—and one key symptom is overlooked by most people.

Why Lacunar Strokes Are Often Missed
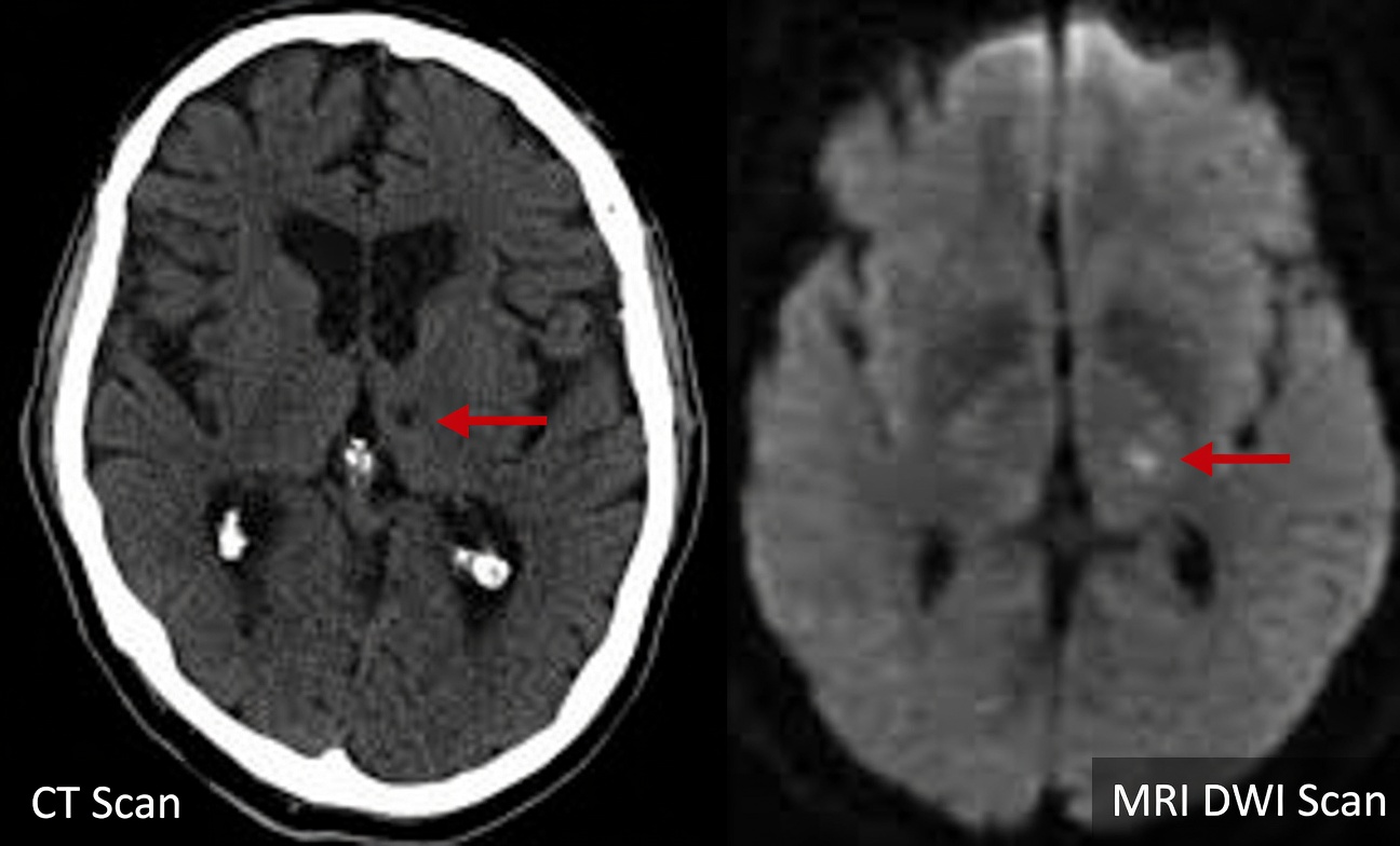
A lacunar stroke happens when a very small artery—sometimes as thin as a hair—gets blocked deep inside the brain. Compared with larger strokes, these events may not cause obvious, dramatic symptoms right away. Research reported in journals such as Stroke and Neurology suggests that 20–30% of adults over 60 show evidence of silent lacunar strokes on brain scans, despite feeling well.
As these strokes repeat, they can leave tiny cavities in important regions like the basal ganglia, thalamus, and white matter pathways. This slow buildup can gradually interfere with:
- Walking and balance
- Memory and thinking speed
- Bladder control
- Confidence and day-to-day independence
The most dangerous part is the lack of “alarm bells.”

The 7 Lacunar Stroke Warning Signs Many People Ignore
Neurologists look for specific patterns that point to small-vessel disease and lacunar strokes. Below are seven signs that deserve attention.
7) Sudden burning or stabbing pain on one side
A sharp, electric, or burning sensation in one foot, one hand, or along one side of the body can become severe—sometimes even light touch feels painful. This can occur after a lacunar stroke in the thalamus, a region involved in sensory processing. Studies suggest 8–12% of stroke survivors develop chronic post-stroke pain, yet many people spend months pursuing other explanations before brain imaging reveals the cause.

6) Intense abdominal or flank pain with normal test results
In rare cases, a lacunar stroke can disrupt pain pathways and trigger severe abdominal or side pain that resembles appendicitis or kidney stones—even though medical tests don’t identify a cause. This unusual presentation can delay diagnosis while underlying vascular injury continues.
5) Sudden weakness or clumsiness in one arm or leg—even if it improves quickly
Brief episodes such as dropping items, struggling with buttons, or feeling a heavy limb can reflect a lacunar stroke affecting motor pathways. Because symptoms may partially resolve, people often dismiss them as fatigue or “sleeping wrong,” even though they may signal active risk.

4) Worsening balance and unexplained falls
This is the lacunar stroke warning sign many people attribute to getting older. Watch for patterns such as:
- Shuffling steps
- Difficulty turning
- “Freezing” while walking
- Frequent stumbles or near-falls
These can be linked to vascular parkinsonism, caused by multiple small strokes affecting the basal ganglia and white matter. Research in Movement Disorders suggests up to 30% of parkinsonism in older adults may be vascular rather than classic Parkinson’s disease.
3) New or worsening urinary urgency and incontinence
Suddenly needing the bathroom much more often, waking repeatedly at night, or having accidents can be distressing and embarrassing. Lacunar strokes can disrupt connections between the frontal brain networks and bladder control. Studies show higher rates of urinary symptoms among people with extensive small-vessel brain changes.
2) Slower thinking, reduced focus, and personality changes
Lacunar strokes can contribute to vascular cognitive impairment, often seen as:
- Difficulty planning or organizing
- Reduced concentration
- Emotional flattening or mood shifts
Compared with Alzheimer’s disease, vascular impairment often follows a step-wise pattern—noticeable drops tied to new events rather than a smooth, gradual decline.

1) Brief episodes of confusion or “mental fog”
Short periods of disorientation, clouded thinking, or sudden mental slowdown that clears quickly can be among the earliest warning signs. These transient changes may involve brain arousal networks and can sometimes precede more significant events.
Practical Steps to Support Brain and Blood Vessel Health
You can reduce the progression of small-vessel disease by focusing on proven vascular risk control. Evidence-based strategies include:
- Maintain blood pressure consistently below 130/80 mmHg
- Target LDL cholesterol under 70 mg/dL if you have vascular risk factors (as advised by your clinician)
- Keep blood sugar well-controlled if you have diabetes
- Follow a Mediterranean-style diet (vegetables, fish, nuts, olive oil)
- Walk regularly and add gentle strength training most days
- Stop smoking and keep alcohol intake modest
- Ask your doctor whether antiplatelet therapy is appropriate for you
Lacunar Stroke Signs vs. Normal Aging vs. Other Conditions
| Aspect | Lacunar Stroke Signs | Normal Aging | Other Conditions (e.g., Arthritis, Alzheimer’s) |
|---|---|---|---|
| Onset | Sudden episodes or step-wise decline | Very gradual | Gradual or different pattern |
| One-sided vs. both sides | Often one-sided | Typically symmetric | Variable |
| Key features | Gait/balance changes, urinary urgency, central pain, step-wise thinking decline | Mild slowing, occasional forgetfulness | Joint pain or primary memory loss, depending on condition |
| Response to vascular control | Often stabilizes or slows progression | Limited benefit | Needs condition-specific treatment |
| Brain imaging | Small cavities, white matter changes | Minimal changes | Different patterns (e.g., atrophy, plaques) |
Final Thoughts
Lacunar strokes can be small, but their long-term impact can be enormous—especially when multiple “silent” events accumulate. Recognizing lacunar stroke warning signs early and taking action to improve vascular health can help preserve mobility, thinking, and independence.
Frequently Asked Questions
Are lacunar strokes the same as TIAs?
No. TIAs (transient ischemic attacks) are temporary and do not leave permanent injury on imaging, while lacunar strokes create small areas of lasting brain damage—although symptoms may improve.
Can lacunar strokes be fully prevented?
Not always, but strong control of blood pressure, cholesterol, diabetes, and lifestyle factors can significantly lower risk and slow progression of small-vessel disease.
When should I see a doctor?
Seek prompt medical evaluation for any new, worsening, sudden, or one-sided neurological symptom, especially changes in strength, balance, speech, sensation, or confusion. Ask whether brain imaging is appropriate.
Medical Disclaimer
This article is for informational purposes only and does not replace professional medical advice. Always consult a qualified healthcare provider about symptoms, diagnosis, or treatment.


